
1. 부적절한 치료 계획의 설계
2. 수술의 부적절함
3. 치료 후 환자의 관리 소홀 (수술 후 중요 주의사항의 미이행, 흡연, 구강위생불량 등)
4. 전신질환이 있는 경우, 전신질환의 악영향 (당뇨, 골다공증 등)
5. 환자의 과도한 교합압으로 인한 치조골 파괴 (이갈이, 이 악물기 습관 등)
오랫동안 많은 환자들의 케이스를 지켜봐 온 결과,
1번과, 2번의 원인으로 인한 실패는, 환자에게 적합한 치료 계획의 변경을 통해, 쉽게 좋은 결과를 얻을 수 있습니다.
3번과, 4번의 원인으로 인한 실패는, 재치료 후 3개월~6개월마다 지속적인 구강건강관리 체크를 하면서
스케일링, 잇몸치료 등으로 구강건강을 유지해 나가는 것이 바람직한 방법입니다.
5번의 원인으로 인한 실패는, 과도한 힘에 의한 실패이므로,
재치료시 강한 힘에 견딜 수 있도록 보다 강한 임플란트 픽스쳐를 사용해야 하며, 어금니의 개수가 부족한 경우라면
원칙적으로 모든 어금니를 재건하는 방법을 통해 문제를 극복할 수 있습니다.

치료전
수술 과정
치료후

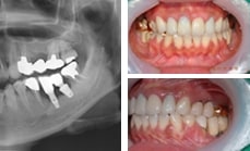
08.01.15 처음 내원 때, 사진
: 타 병원에서 임플란트 2개를 심었는데,
후방의 하나는 빠져버렸고, 전방 부위에도
잇몸뼈의 손상이 컸음.
그래서, 제거 수술 후 인공뼈이식을 통해,
잇몸뼈를 재생시킨 후,
2개의 임플란트 재식립을 계획하였다.
08.02.15 인공뼈
이식술 후, 사진
: 잇몸뼈 재생을 위해,
우선적으로 인공뼈이식술을
시행하였다.
08.02.15 인공뼈
이식술 후, 사진
: 잇몸뼈가 재생된 후,
임플란트 재식립을
하였고, 보철 제작
시행 전, 임플란트와
잇몸뼈 사이의 결합도를
확인하였다.
13.07.31 보철제작 후, 약 5년 경과 사진
: 약간의 잇몸뼈 흡수가 관찰되지만,
훌륭한 stability를 유지하고 있다.
상호명 : 에스(S)리더치과병원
대표자 : 심성환
사업자등록번호 : 206-31-52755
주소 : 서울시 광진구 능동로 103 동서빌딩 3,4층
