
신경치료를 받지 않아도 되는
충치 치료 방법
충치가 생긴 부위는 빠른 치료를 통해 신경까지 손상되지 않도록 하는 것이 중요합니다!

충치 부위가 넓고 힘이 강한 어금니 부위에 적합한 치료방법으로,
충치 부위를 제거한 후 썩은 치아 부위를 본뜨기 해 모형을 만들고(1회 방문),
기공소에서 금합금 치아를 제작해 제거한 충치 부위에 붙여 넣는 가장 전통적인 치료법(2회 방문)입니다.
골드 인레이 치료과정





치료전
치료후

치료전
치료후

치료전
치료후

충치 부위를 제거한 후, 입안을 본뜨기 해서 모형을 만들고(1회 방문),
기공소에서 강화형 레진 중합체로 치아를 만들어 치아에 붙이는 치료법(2회 방문)입니다.
예전에는 시술 후에 떨어져 나가는 경우가 많아 잘 쓰이지 않았지만, 강화형 레진 중합체로 강도가 개선됨에 따라
잘 떨어져 나가지 않고 색깔도 치아와
거의 유사하여 아랫니, 작은 어금니, 큰 어금니의 상대적으로 작은 충치부위 등에
광범위하게 사용되어지고 있습니다.
레진 인레이 치료과정





치료전
치료후
치료전
치료후

레진 인레이와 흡사한 치료법으로, 레진 인레이보다 강도가 크게 개선되어 최근에 가장 주목받고 있으며,
금 인레이를 대체할만한 치료법으로 인지되고 있습니다.
세라믹 인레이 치료과정





치료전
치료후

신경치료를 한 치아나 충치가 심하여 남아있는 치아의 양이 부족하거나 치아의 머리 부분 쪽이 금이 간 경우,
치아를 보호하여 씹는 기능을 유지시켜주는 치료방법입니다.
치아 전체를 삭제한 후 본뜨기 해서 모형을 만들고(1회 방문),
기공소에서 금합금 재료로 전체치아 모양으로 제작해서 치아에 붙이는(2회 방문) 치료법입니다.
골드 크라운 치료과정

치료전
치료후
치료전
치료후

치아 충치가 너무 넓어 일부 때우는 방법으로 치료가 적절하지 못할 경우,
치아 전체를 삭제하고 본을 떠 모형을 만들고(1회 방문),
기공소에서 올세라믹으로 전체치아를 제작해서 치아에 붙이는(2회방문) 치료법입니다.
올세라믹크라운 재료로는 주로 지르코니아+세라믹 혼합재료(통칭 지르코니아크라운)를 사용하게 됩니다
세라믹 크라운 치료과정

치료전
치료후
치료전
치료후

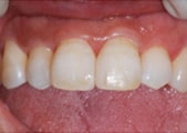
충치 부위를 제거한 후, 제거된 부위만큼 레진이라는 재료로 입안에서 직접 때우는(충전하는) 치료법입니다.
레진은 치아색이 나는 플라스틱으로, 치아에 비하여 약해 큰 힘을 지탱하지는 못 합니다.
때문에 씹는 힘이 가해지지 않는 영역이나, 작은 부위, 앞니 부위에만 한정적으로 사용이 가능합니다.
하지만, 치료재료 중, 가장 비약적으로 발전하고 있어 사용가능영역과 활용도가 빠르게 증가하고 있습니다.
특히 앞니충치에 적절한 재료로서, 앞니레진치료는 나날이 발전하고 있고,
레진치료비용면에서도 다른 치료법에 비하여 저렴하여 선호되는 치료법입니다.
레진 충전 치료과정





치료전
치료후
치료전
치료후
상호명 : 에스(S)리더치과병원
대표자 : 심성환
사업자등록번호 : 206-31-52755
주소 : 서울시 광진구 능동로 103 동서빌딩 3,4층
